ネット予約

むし歯治療

当院のむし歯治療について

  • レーザー光を使ったむし歯診断機器

    レーザー光を使ったむし歯診断機器(ダイアグノデント)を使用する様子

    まずレーザー光を使ったむし歯診断機器(ダイアグノデント)を使用して、むし歯が削るべきでないエナメル質内に留まっている状態なのか(初期むし歯)、それとも削って除去すべき象牙質まで進行しているのかを見極めます。

    ダイアグノデントでは、むし歯の進行度を100段階で評価することが可能です。

  • 初期むし歯があった場合

    歯の模型に歯ブラシを当てる様子

    エナメル質内に留まっている(初期むし歯の)場合には、歯は削らずにその部位を鏡で見て頂いたり口腔内写真を使用したりして、患者さんには初期むし歯の場所・程度・範囲を把握して頂いた上で、歯ブラシ指導、F塗布、むし歯進行止めの薬(フッ化ジアミン銀)、フッ素徐放性のセメントで仮封やシーラント処置などを行い、初期むし歯の再石灰化を定期検診にて経過観察を行います。

  • むし歯が象牙質にまで達している場合

    患者の口の中に器具を入れ治療する様子

    むし歯が象牙質にまで達している場合には、残念ながらむし歯を削り取る必要があります。ただ削る必要のないところは削らない、しかし削る必要のあるところは取り残しのないように削るために『むし歯検知液』を使用して見極めております。

    ただし削るべきむし歯を全て除去すると歯の神経まで達してしまう恐れがある場合や、むし歯除去時に歯の神経まで達してしまった場合でも、歯の神経が残せる可能性があれば、消毒後、歯の神経を保護する薬剤を塗布して経過観察の必要性(処置後に症状が悪化した場合には神経を取ることになるなど)を患者さんに説明させて頂いて、歯の神経をできるだけ残す努力をしております。

むし歯を防ぐ習慣とは

  • ジュースのイメージアイコン

    その1
    砂糖の摂取に配慮した食生活の確立

    喉が乾けばお茶や水ではなく、冷蔵庫のペットボトルのジュース(スポーツドリンクも同じです)を飲むような食生活習慣では、まずむし歯の防止は不可能で、糖尿病(ペットボトル症候群)予備軍となってしまいます。

    食事以外で糖分を”日々日常的に”摂取するような生活習慣はまず改めましょう。

  • 歯ブラシと歯磨き粉のイメージアイコン

    その2
    保護者の点検磨き習慣

    砂糖摂取を控えた生活習慣に加えて、お子さまご自身がお口を清潔にした時の「さっぱり感」、「気持ちよさ」を持続して実感することによって養われる口腔衛生意識の確立が大切だと考えております。
    この意識の確立のためには、9歳までの保護者のよる点検磨きがとても重要です。「ローマは一日にして成らず」のようにこれはとても大変なことですが、お子さまへの最高のプレゼントである「むし歯の無い、きれいな口もと」をご一緒に目指しませんか。

  • 上の前歯が黒く虫歯になっている歯列

    哺乳瓶で糖分のある
    ものを飲ませていたお口

  • 虫歯の無いきれいな白い乳歯列

    むし歯の無い
    きれいな乳歯列

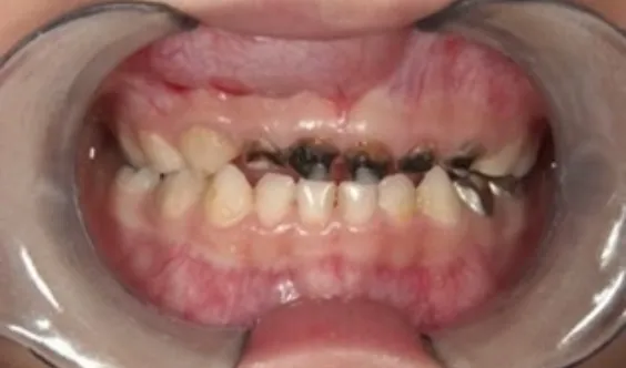
  • ところどころ虫歯になっている歯列

    ジュースを常時飲むと
    残念なお口に

  • 虫歯の無いきれいな永久歯列

    むし歯の無い
    きれいな永久歯

小児歯科