外傷歯・ナイトガード・マウスガード
外傷歯の対処法

ケガで抜けた歯は戻せることがあります
ケガや事故で歯が抜けてしまった場合、素早い処置で抜けた歯を戻せる可能性があります。
-
1
抜けた歯、折れた歯の破片を探して集める。
-
2
土がついて汚れていれば、こすらず水道水で洗う。※ただし、根っこはこすらず流水で汚れを洗い流すこと、30秒以上洗わないことが重要です。
-
3
できれば自分で元に戻す。
-
4
自力で戻せなければ、牛乳(できれば新鮮な低脂肪乳)の中、牛乳が無ければほっぺの内側に入れて歯を乾かさない。※決してティッシュで包んだりして保管しないでください。
-
5
できるだけ早く歯医者さんに行く。
ナイトガード・マウスガードについて

ナイトガード
夜間就寝している間に「歯ぎしり」や「くいしばり」によって、奥歯が割れたり
顎関節症の原因となります。
ナイトガードを装着することにより歯やアゴにかかる負担を軽減します。
保険も適用されるので、お気軽にご相談ください。

マウスガード
格闘技やラグビーなどのコンタクトスポーツに使用することで、歯や顎を守るだけではなく、脳への衝撃をやわらげ、脳震盪の予防効果もあります。また、歯並びが悪い方でも咬み合わせが調整され、より力を発揮しやすいといった効果もあります。
当院では、患者様のスポーツライフを応援するために、歯型を精密に採取したぴったりフィットするオーダーメイドのマウスガードを製作しています。
放っておくと怖い歯ぎしり
寝ている間の「歯ぎしり」や「くいしばり」を放っておくと、歯がすり減り、歯の神経が出たり、歯が割れたりすることがあります。歯ぎしり等を止める治療は残念ながらありませんが、歯のすり減りや歯の破折の危険性を軽減するために、保険適用で作成できる夜間のマウスピースの使用をお勧めします。
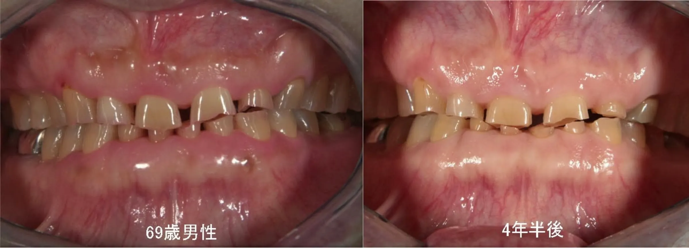
歯ぎしりによって歯が減った症例
